肺癌俨然成为人类健康的“头号公敌”,然而,有一个国家的肺癌治疗水平却在逆境中异军突起,甚至开创了肺癌治疗的新里程碑,这就是——日本。
据《柳叶刀》2000-2014年全球癌症生存率变化趋势监测研究报告中数据显示,日本肺癌整体5年生存率高达32.9%,领跑全球。日本到底是如何做到的?

数据来源:「The Lancet」Global surveillance of trends incancer survival 2000-14 (CONCORD-3)
其实,日本肺癌5年生存率不断攀升的“幕后功臣”,正是外科手术技术的不断进步。
大约50年前,针对肺癌外科治疗的标准手术方式是肺叶切除术,而现在一种更精准、创伤更小、使患者康复更快的手术方式在日本逐渐普及,这就是肺癌区域切除手术。
这种手术方式到底是如何进行操作的?它真的能用助于延长患者的生存时间吗?
日本NHK电视台曾报道了日本肺癌手术的真实过程,让我们透过镜头,走进一位普通肺癌患者的康复之路。
(视频,点击播放)
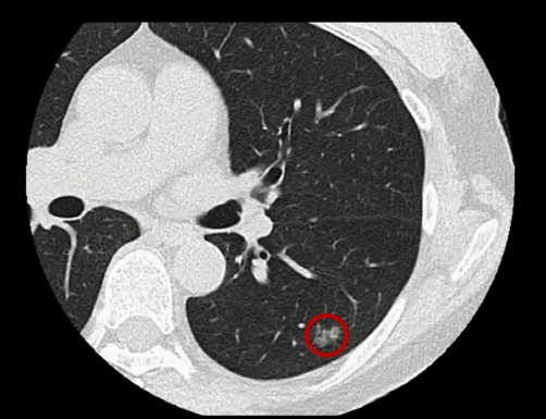
这位普通的日本妇人叫泷川桂子,今年59岁,她在一次精密检查中,被诊断罹患早期肺癌。
这是泷川的肺部CT扫描图,图上左肺红色圈起来的部分就是癌症所在的位置,有1.3厘米大,最后确诊为腺癌I期。
腺癌占肺癌病例的80%以上,通常肿瘤在肺的末梢部分生长,那里没有感觉神经,所以早期很难发现。
泷川很幸运,她的癌症还在初期,因为这种肺癌早期没有什么症状。初期腺癌可以做手术切除,医生选择用一种日本研发的新技术为她进行手术。
通常,肺癌的常见手术方式是肺叶切除术,五片肺中要切除一片,不管肿瘤有多小,整片肺叶都需要切除,由于癌症所在的位置和大小不同,整个一边的肺或许都要切除。切除的部分越大,患者肺功能退化的程度就会越严重。
而现在,经验丰富的日本外科医生组建了研究团队,从近十年前起,医生们就在研究如果切除部分更小,会有什么效果?医生根据支气管和静脉结构,将5片肺叶细化分成18个区域,这种新的手术法就是肺癌区域切除术。
泷川的区域切除术已经开始了,这次手术中使用了机器人辅助的内窥镜手术。
癌症位于左下叶肺的上半部分,医生先将肿瘤所在的左上叶肺和下叶肺分开(绿色标记的部分为左上叶肺,而黄色为下叶肺)。上下叶交界处肉眼可见,且没有大血管,所以分离相对容易,但是切除受影响的区域却很困难。
就泷川的病例而言,左下叶肺四个区域中上面的部分需要切除,区域之间的交界处有几条血管,需要精湛的技术才能准确地区分要切除和要保留的血管,从而才能确保肺正常运作。
医生开始切断深受影响区域的一条血管,这条静脉约10mm宽,(图片中蓝色标记的上面那条血管),而另一条在其下方的静脉必须保留下来,如果这条静脉受损,肺的功能就会退化。
医生将一把电刀置于静脉之下,小心将其从周边组织切除。这项手术非常困难,需要医生具备丰富的经验,和充分的解剖学知识。最终,手术持续了约一个小时,有了机器人辅助,整场手术病患的出血量只有3cc,约为肺叶摘除手术平均出血量的6%。术后3天,泷川正在病房等待出院回家, “我每时每刻都在恢复,以前从来没有这种感觉,能在手术后3天就出院回家,真的太神奇了!”大约一周后,泷川就可以完全康复,现在她的生活又恢复了往日的平静。
肺癌是当前全球癌症致命性极高的恶性肿瘤,通常即便肿瘤很小,患者也有可能需要切除大部分肺,但当新手术问世之后,只需要切除很小一部分肺,如此便能改善病患术后的生活质量,术后存活率也会稳步提高。肺癌区域切除术开创了肺癌外科手术的新篇章,将肺细分为比肺叶更小的18个区域,相邻区域之间的部分被称为截间面,静脉血管纵横分布在截间面中,切开截间面的同时确保静脉无损、肺功能不受影响,这是非常困难的。技艺娴熟的日本医生一直致力于尽可能保留患者正常器官或组织的功能,由于新型手术技术对肺功能的损失更小,对那些有常年吸烟史、肺活量极低而不能做肺叶切除的患者而言,区域切除术便是更好的选择。通过长时间的实践和研究,肺癌区域切除术已经在日本权威医院中广泛普及。目前,欧美等国家还没有判定区域交界线的培训,很少有医生能精准地切除受影响的区域,几乎只有日本的医生才能做到。更多好消息还在路上,目前日本正在开展大规模的随机试验,进行肺叶切除术和区域切除术的比较性研究,据NHK电视台报道:一项随机试验显示,接受过两种手术中任意一种的1100名研究对象的死亡率均为零。这是该领域在世界上的头个研究,根据其研究结果,也许不久的将来,区域切除术可能会替代肺叶切除术,成为全球通用的标准手术方法,造福更多肺癌患者。全球范围内,日本在前沿的医学技术和医疗服务上具有强大的优势。世界卫生组织(WHO)公布的《World Health Report》中,从“医疗水平”、“接受医疗服务的难度”、“医药费负担公平性”等方面对世界各国的医疗体系进行了综合比较。日本因为“高品质的医疗服务”和“医疗负担的平等程度”、“国民平均寿命高”等原因,多次蝉联第一位。在癌症治疗方面,除了一直以来严格遵守规范化手术操作流程和完善的围手术期康复管理,日本还在微创手术及手术精准化的道路上不断开拓创新。如何保留正常器官?如何缩小创口?如何降低患者痛苦,提高生活质量?正是这种真正以患者为本的意识,让日本医生在保证高质量完成标准化治疗的同时,又不断思考如何通过创新的方式延长患者生存。通过多年努力,日本实现了领先世界水平的癌症生存率,在全球肺癌治疗领域保持较高水平。面对我国肺癌的高发形式,希望更多国际前沿的治疗方式、新技术,也能够帮助到更多国内的患者。如果您想了解日本肺癌治疗的更多信息,欢迎联系我们。
【盛诺一家】成立于2011年,是国内领先的海外医疗咨询服务机构,至今已为近10000个患者家庭提供出国就医服务,重点涵盖癌症、心脏病、罕见疾病等重疾领域。凭借专业、贴心、高效的服务,盛诺一家赢得了99%客户好评率!
📌为什么出国就医患者选择盛诺一家?
- 全球就医:覆盖中、美、英、日1000家医院网络,不局限于单一国家医疗资源、规划最优就医路径
- 专业可靠:咨询服务团队成员70%拥有医学背景,包括医学院博士、三甲医院医生、资深医学翻译
- 一站式服务:在全球设有15个客户服务中心,保障从国内到海外全流程、高品质的服务质量
- 客户至上:推出48小时冷静期、风险告知书、医疗费用“零加成”等措施,保障客户权益
- 专属折扣:通过本公司预约出国就医的患者,可额外申请5%–40%的医疗费用减免折扣
👉如果您或者家人需要出国看病,可拨打免费咨询热线 400-855-7089,或通过 盛诺一家官网 预约咨询!
本文为海外就医科普文章,内容仅供阅读参考,不作为任何疾病治疗的指导意见。文章由盛诺一家编译,版权归盛诺一家公司所有,转载或引用本网内容须注明“转自盛诺一家官网(www.stluciabj.cn)”字样。