近日,一项来自美国MD安德森癌症中心的新研究发现,对于体积巨大的胆管癌肿瘤,以前医生往往不敢用放疗。
但现在,一种更精准的高剂量放疗方式不仅可以安全使用,还能让患者生存期延长一倍以上!

1
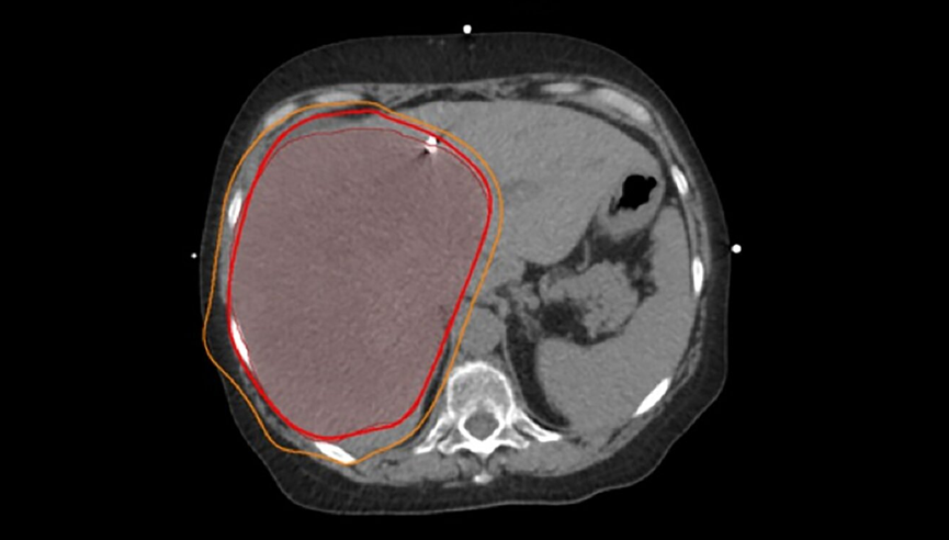
肝内胆管癌中的“巨大型肿瘤”
肝内胆管癌(发生在肝脏内部胆管的癌症)中,有一类肿瘤特别棘手,它们体积非常大,甚至超过10厘米。
过去,医生很少对这类肿瘤使用放疗,因为“不敢用”。
一方面,要想对这么大的肿瘤产生效果,就必须用很高剂量的放射线,但肝脏本身承受能力有限;另一方面,这些肿瘤往往贴着胃、肠道等重要器官,一旦误伤,后果会很严重。
也正因为这样,很多患者只能依赖化疗,而效果往往有限。
但现在,情况正在发生变化。
2
患者生存时间翻倍
在这项研究中使用的放疗,属于“高剂量消融性放疗”,我们可以简单将其理解为一种“高强度精准打击”放疗方式,它的目标不是抑制肿瘤,而是直接把肿瘤“彻底清除”(类似手术)。
在过去,想提高疗效就必须大量增加放疗剂量,但这会导致正常组织被严重损伤,因此很多时候不可行。
再加上一个当时的普遍看法:很多医生认为,这种巨大型肿瘤在“生物学特性”上可能和小肿瘤不一样,就算局部控制住了,也未必能延长寿命,所以更不愿意冒风险去做放疗。
但随着放疗技术的发展,情况发生了改变。
MD安德森是全美癌症专科排名第一的癌症中心,在这里,医生可以把放射线“雕刻”得非常精准,就像用一束可以拐弯、聚焦的光,既能集中火力打在肿瘤上,又尽量避开周围正常组织。这就让医生有能力把剂量提高到“足以消灭肿瘤”的水平,同时把副作用控制在可接受范围内。
更关键的是,这项研究还发现,这些巨大型肿瘤在分子层面和组织结构上,并没有本质上不同于小肿瘤。
这也就给了医生一个新的信心:体积大,不应该成为放疗的“禁区”。
这项研究回顾了过去约15年的患者数据,并分成了两组。
一组患者都是接受了“高剂量消融性放疗+化疗”的人,另一组只接受了化疗。
结果显示,联合治疗组患者的中位生存期为28.7个月,单纯化疗组为11.9个月,生存期直接翻倍!
不仅如此,联合治疗患者与肿瘤相关的肝功能衰竭发生率为12.1%,单纯化疗组为47.1%,同样优势明显。
在安全性方面,联合疗法让26.5%的患者出现了3级放射性肝损伤,但属于可管理范围,少数患者出现了延迟性消化道出血,同样可以治疗控制,没有其他更严重的不良反应。
如果您希望了解更多癌症等重大、复杂疾病的海外前沿研究成果、药物、疗法信息,请拨打 免费咨询电话 400-875-6700 联系我们,盛诺一家的全球就医规划师可为您提供专业的就医路径规划和全球优质医疗资源快速对接服务,包括预约国外权威专家一对一远程咨询、快速办理医疗签证前往海外权威医院就医等。
参考来源:
https://medicalxpress.com/news/2026-04-therapy-outcomes-supermassive-bile-duct.html
【盛诺一家】成立于2011年,是国内领先的海外医疗咨询服务机构,至今已为近10000个患者家庭提供出国就医服务,重点涵盖癌症、心脏病、罕见疾病等重疾领域。凭借专业、贴心、高效的服务,盛诺一家赢得了99%客户好评率!
📌为什么出国就医患者选择盛诺一家?
- 全球就医:覆盖中、美、英、日1000家医院网络,不局限于单一国家医疗资源、规划最优就医路径
- 专业可靠:咨询服务团队成员70%拥有医学背景,包括医学院博士、三甲医院医生、资深医学翻译
- 一站式服务:在全球设有15个客户服务中心,保障从国内到海外全流程、高品质的服务质量
- 客户至上:推出48小时冷静期、风险告知书、医疗费用“零加成”等措施,保障客户权益
- 专属折扣:通过本公司预约出国就医的患者,可额外申请5%–40%的医疗费用减免折扣
👉如果您或者家人需要出国看病,可拨打免费咨询热线 400-855-7089,或通过 盛诺一家官网 预约咨询!



